Do školky jsem chodil v polovině osmdesátých let minulého století. Jako dítě si pamatuji, jak nám, tuším po obědě, dávali takové ty malé fluoridové tabletky „na zuby“. Byly pokaždé čtyři nebo pět. Ti z vás, co jsou podobného věku, si na to také určitě velmi dobře vzpomenete. Myslíte si, že nám tenkrát dost škodili?
Informační kal
Žijeme v čase, kdy jsme zavalováni informacemi o průmyslově vyrobených produktech – těch dobrých přeci – kdy je nám vtloukáno do hlav, že pokud nezobeme tohle nebo tamto, nedáváme našemu tělu to, co bychom měli. Televize, časopisy, rozhlasové stanice, sociální sítě, všude přítomné „letákovo-brožurkové kampaně“ jsou přeplněné „cool“ reklamními spoty a obrázky o různých komerčních suplementech. Fluoridových nevyjímaje. Většina distributorů se nás snaží přesvědčit o tom, „jak je právě jejich produkt pro nás nezbytný“.
Zdroje fluoru a způsob příjmu
Díky své vysoké reaktivitě se fluor v přírodě nevyskytuje v elementárním stavu, ale pouze ve sloučeninách. Jako prvek má totiž vůbec největší elektronegativitu ze všech zástupců periodické tabulky. Vyšší má už pouze helium a neon (u těch však nejsou známé žádné sloučeniny). Je přirozenou součástí zemské kůry, kde zaujímá 0,35 %. Odtud se do ekosystému dostává přirozeným způsobem hlavně díky vulkanické činnosti. Fluor se ve stopovém množství vyskytuje prakticky všude. Ve vzduchu, většině typech půd, je součástí oceánů. V závislosti na geologických podmínkách dané lokality se různí koncentrace fluoru obsaženého ve zdrojích pitné vody. Najdete ho v potravinách, i v tělech jiných organismů a rostlin – potenciální lidské stravy.
Průměrně kolem 85 % fluoru se do těla absorbuje skrze trávicí trakt, především žaludek a střeva. Samotná absorpce je poměrně rychlá, kdy se až polovina průměrné dávky dokáže dostat do sytému během třiceti minut. Celý proces nezabere víc než hodinu a půl. Čili trávicí trakt je jakousi hlavní vstupní branou do našeho těla. Distribuce fluoru v těle nastává okamžitě po absorpci a trvá minuty. Až 99 % denně vstřebaného fluoru se ukládá do zvápenatělých tkání (kosti a vyvíjející se zuby). Přesně tam, kde působí blahodárně, nebo může napáchat pěknou neplechu.
Velký vliv na výskyt sloučenin fluoru v našem prostředí má i široká lidská činnost. Fluor se dostává do našeho prostředí (nebo se intenzivně zvyšuje jeho koncentrace) především díky metalurgickému průmyslu, zemědělství (používáním chemických hnojiv), fluoridaci spotřebního zboží a umělé fluoridaci pitné vody. A právě poslední jmenovaná v současnosti nejvíce víří emoce v mnoha diskusích na vědecké půdě, ve veřejném sektoru, včetně zákonodárné úrovně zainteresovaných států. O tom až za chvilku.
O fluoru je obecně známo, že je potřebným pro zdravý vývoj především kostí a zubů. Je to prvek, který je pro naše tělo ve správném množství nutný stejně tak, jako například železo či jód. Pokud se tedy potýkáme s nedostatkem či přebytkem, v obou případech nastanou zdravotní komplikace. Dostatek fluoru v těle podporuje mineralizaci (zpevňování) skloviny chrupu, která tak získává potřebnou tvrdost a tím odolnost vůči vnějším vlivům. Obdobně je to u kostí.
Nižší koncentrace fluoru v organismu do jisté míry tyto procesy, řekněme, zpomaluje. To samozřejmě není úplně dobře. Je nicméně důležité vědět, že ve světě (v naší civilizaci), v kterém žijeme, nikdy nemůže nastat den, že se do vašeho těla nedostane vůbec žádný fluor. Jsme permanentně obklopeni různými zdroji. Takže je to prakticky nemožné. A tak situace, kdy trpíte nedostatkem fluoru, není úplně v pořádku, přesto je tento stav stále méně vážný, než když je váš organismus konstantě vystaven nadlimitním hodnotám! Pokud je lidský organismus takto zatížen, rapidně se zvyšuje šance rozvinutí závažných a nevratných onemocnění. Časově kontinuální předávkování organismu fluorem se především spojuje se změnami dějící se v chrupu a kostech. Jde o tzv. dentální a skeletální (kostní) fluorózu.
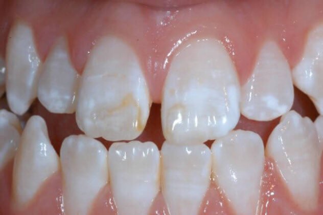
Fluoróza
Jsou-li na chrupu vašem či vašich dětí viditelné „přebělené“ (někdy až nahnědlé) flíčky nebo čárky, pravděpodobně jste prodělali v dětství dentální fluorózu a vaše dítko ji má nyní. Protože inkorporace nadměrného množství fluoridu dokáže takto negativně ovlivnit pouze vývoj skloviny, zabarvení vzniká právě v dětském věku. A to především v prvních osmi letech života, kdy se zakládá (a později vyvíjí) stálý chrup. Mechanismus choroby spočívá v kontinuálním narušování přirozeného metabolismu buněk, které souvisejí s vývojem chrupu, nadbytkem fluoru. Onemocnění může mít mírný průběh, kdy se na sklovině objevují právě malé bílé skvrny či čárky. Nebo může vygradovat až do vážného stádia, kdy se začnou tvořit nahnědlé útvary, které mohu postihnout až celý zub. V nejpozdnějších stádiích dochází i k viditelným deformacím zubu (pórovitý povrch). Takovéto změny na chrupu jsou ireverzibilní a krom estetické vady postiženému chrupu nic dalšího nehrozí. Některé studie dokonce naznačují, že chrup po prodělání lehké a středně lehké dentální fluorózy je přeci jen více odolný vůči kazivosti. Což vlastně vítáme. I tak jde o dost vysokou daň vydanou za nižší kazivost. Co myslíte?
Jak je to s kostmi? Při vysokém přebytku, kterému je organismus vystaven (opět) po delší dobu (jednotky let až dekáda), se fluor postupně hromadí v kostní tkáni. Následkem je zvyšování stability struktury a nerozpustnosti postižené kosti. To má za následek menší rozpustnost tkáně a mineralizace kosti je omezena. Snižuje se tak její pružnost a pevnost je především oslabena v tahu. Kost se stává křehčí a tím pádem je i více náchylná k lámání. Vážnost onemocnění závisí na množství zabudovaného fluoru v kosti. V raném stádiu se nemoc nemusí vůbec projevovat a většinou bývá odhalena náhodně na rentgenovém snímku, kdy se zaznamená neobvyklý nárůst kostní hmoty. Další stádia nemoci se projevují občasnou ztuhlostí, bolestmi kloubu, osteosklerózou pánevní kosti či obratle. S rostoucí závažností se stupňuje intenzita těchto klinických projevů. Nemoc se může rozvinout v trvalé poškození pohybového aparátu. Toto je ovšem extrémní situace, ke které dochází jen velmi zřídka.
Fluorizace v ČR a ve světě
Fluorizace pitné vody (eventuálně spotřebního zboží) za účelem prevence zubního kazu se propaguje jako jeden z největších úspěchů dvacátého století. V USA byla dokonce označena jako jeden z top 10 sukcesů týkajících se veřejného zdraví. Městečko Grand Rapids ve státě Michigan bylo jako vůbec první obydlené místo na světě, které začalo s fluoridací pitné vody. Psal se rok 1945. V Československu a posléze v Čechách byla fluorizace pitných zdrojů prováděna od roku 1958 do roku 1988. Jako pilotní města se zahájením byla vybrána města Brno a Tábor.
Na téma fluorizace u nás se mi podařilo vypátrat již poněkud archivní ale velmi působivý článek z roku 2001 otištěný v MF Dnes. V textu se Otakar Krejsa, tehdejší ředitel Výzkumného stomatologického ústavu Praha, k problému vyjádřil takto: „Byla to metoda poměrně drahá a nebrala ohled na to, že každý člověk by měl mít právo svobodně se rozhodnout, zda chce fluor konzumovat, či nikoli.“ Hezky řečeno, že? Nárok na zdroj pitné (a nezávadné) vody je jedním ze základních lidských práv, které by nemělo být porušeno ani nějak „modifikováno“. Tečka. Krom toho Krejsa v článku hovoří také o tom, že samotná technologie pomalu ztrácela na efektu (prevence zubního kazu), protože veřejnost stále více přivykala konzumaci balené vody.
K fluoridaci pitné vody a spotřebních produktů, jako jsou například různé zubní pasty, gely a suplementy, jsou především použity sloučeniny fluorid sodný (NaF), kyselina hexafluorkřemičitá (H2SiF6) nebo fluorokřemičitan sodný (Na2SiF6). Kyselina hexafluorkřemičitá je vedlejším produktem při výrobě fosfátových hnojiv. Takže vlastně výrobní odpad. Tady se nacházíme na živné půdě konspiračních teoretiků, kteří věří, že (především v rámci USA) zbavování se tohoto chemického odpadu ekologickou cestou bylo dost drahé. Tudíž výroba fosfátových hnojiv se stávala nesnesitelně nákladná.
Další a nejširší přísadou do potravin a výrobků je fluorid sodný. Ten se připravuje neutralizací kyseliny fluorovodíkové (HF) a (zase té) kyseliny hexafluorkřemičité. NaF má široké využití v metalurgickém (extraktivní metalurgie) a kosmetickém průmyslu. Používá se také jako čistící činidlo. Je klasifikován jako vysoce toxický.
Dr. Mercola [1], lékař, velký bojovník za lidská práva a zastánce holistické medicíny, s odkazem na pěti set stránkovou studii [2] upozorňuje především na možné komplikace při předávkování. Kde mimo jiné upozorňuje hlavně na to, že fluoridy jsou tzv. endokrinními disruptory (jedná se o látky, které účinkují jako hormony a narušují fyziologické funkce hormonů v těle, pozn. red.), které mají neblahý vliv právě na správnou funkčnost hormonů v lidském těle. Což konkrétně neblaze působí na správné fungování mozku, štítné žlázy, mozkové šišinky (žláza s vnitřní sekrecí – též označována jako „třetí oko či „sídlo ducha“ – vylučující melatonin, důležitý hormon ovlivňující biorytmy těla, spánek, bdění, vnímání a činnost pohlavních žláz, pozn. red.) a v neposlední řadě má vliv i na hladinu cukru v těle (riziko rozvinutí diabetu druhého stupně).
V Čechách (Československu) jsme s fluoridací přestali. Díky bohu. Až na výjimky jsou na tom další země EU buď podobně, nebo o fluoridaci ani neuvažovali. Státy, kde se vůbec neobtěžovali něco takového dělat, jsou Rakousko, Chorvatsko, Řecko, Severní Irsko a Norsko. V Dánsku, Lotyšsku, Francii a Estonsku je vyšší hladina fluoru ve vodních zdrojích přirozená. Belgie nefluorizuje, ačkoliv to tamní legislativa povoluje. Ve Finsku se experimentovalo s fluorizací lokálně ve městě Kuppio. Přestali v roce 1992. V Německu jsou vládou široce propagovány výrobky obsahující uměle přidaný fluor. Až na městskou část Wahlershausen ve městě Kassel, kde se experimentovalo v letech1952 až 1962, se nikdy fluoridy nepřidávali do pitné vody. Ve „východním Německu“ byla situace obdobná jako v Československu. Maďarsko taktéž zkoušelo lokální experiment na počátku šedesátých let ve městě Szolnok. Od metody však upustilo a nikdy se k ní nevrátilo. Zhruba 10 % pitné vody ve Španělsku se fluorizuje. Švédský Norrköping byl v roce 1952 jedním z prvních evropských měst, které začalo uměle přidávat fluor do pitné vody. V roce 1961 to bylo soudně prohlášeno za ilegální. O rok později byl rozsudek zrušen a až v roce 1971 byla umělá fluorizace vody švédským parlamentem definitivně postavena mimo zákon.
Nizozemí fluorizovalo na většině území od roku 1960 do roku 1973. Kdy úřady definitivně rozhodli, že přidávání jakékoliv chemické substance do veřejného vodního řádu je ilegální. Ve Švýcarsku byly od roku 1962 do 2003 paralelně provozovány dva programy fluorizace vody v Basileji a soli ve zbytku země. Od dubna 2003 se fluorizuje pouze sůl. Zhruba k 10 % populace v UK je distribuována fluorizovaná voda. Z toho je necelé procento přírodního charakteru.
Irsko je jediná země v EU, kde se intenzivně fluorizuje. Jedná se o celorepublikové nařízení. Vedle Irska a Spojených Států je dalších 21 států, kde se intenzivně fluorizuje pitná voda. A sice: Argentina, Austrálie, Brazílie, Brunej, Čile, Fiji, Guatemala, Guyana, Hong Kong, Jižní Korea, Kanada, Izrael, Libye, Malajsie, Nový Zéland, Panama, Papua Nová Guinea, Peru, Srbsko, Singapur a Vietnam.
Tak kolik ho teda můžeme?!
Je tedy dobré omezit konzumaci NaF na minimum a mít aspoň hrubý přehled o tom, kolik fluoru do našeho organismu vstupuje. Paradoxní ovšem je, že není známa bezpečná denní dávka! Všechny zdroje pouze hovoří o dávce doporučené. A ty se navíc se mezi sebou mírně liší. Takže průměr všech dostupných dat, které se mi podařilo vypátrat, vychází na 0,06 mg fluoru na 1 kg váhy na den.
Řiďte se vlastní intuicí
Použijte tedy ten zlatý selský rozum a snažte se nahrazovat chemii přírodními produkty. Pokud si nevíte rady, informujte se sami z různých zdrojů nebo u nutričního poradce.
Za zhlédnutí určitě stojí krátkometrážní snímek Our Daily Dose od Jeremyho Seiferta.
Reference a zdroje:
- https://articles.mercola.com/sites/articles/archive/2013/04/30/water-fluoridation-facts.aspx
- Fluoride in Drinking Water, A Scientific Review of EPA’s Standards (2006), k dispozici na „The National Academy Press“ (https://www.nap.edu/)
- Fluor nejen pro zuby dobrý, Hana Dancingerová, Ústav preventivního lékařství, LF Masarykovy univerzity, bakalářská práce (pdf verze), 2011
- https://www.ecomonitor.cz/
- MUDr. Dana Maňasková, https://medicinman.cz/?p=leky-latky/fluor
6. www.wikipedia.org






